Produkty

Umělá inteligence pomáhá

Pacientům

Rychlá a přesná detekce určitých onemocnění zvyšuje šanci na přežití >5 let až o 90 %. Pacienti stráví méně času v čekárnách a mohou se tak naplno věnovat svému brzkému uzdravení.

Lékařům

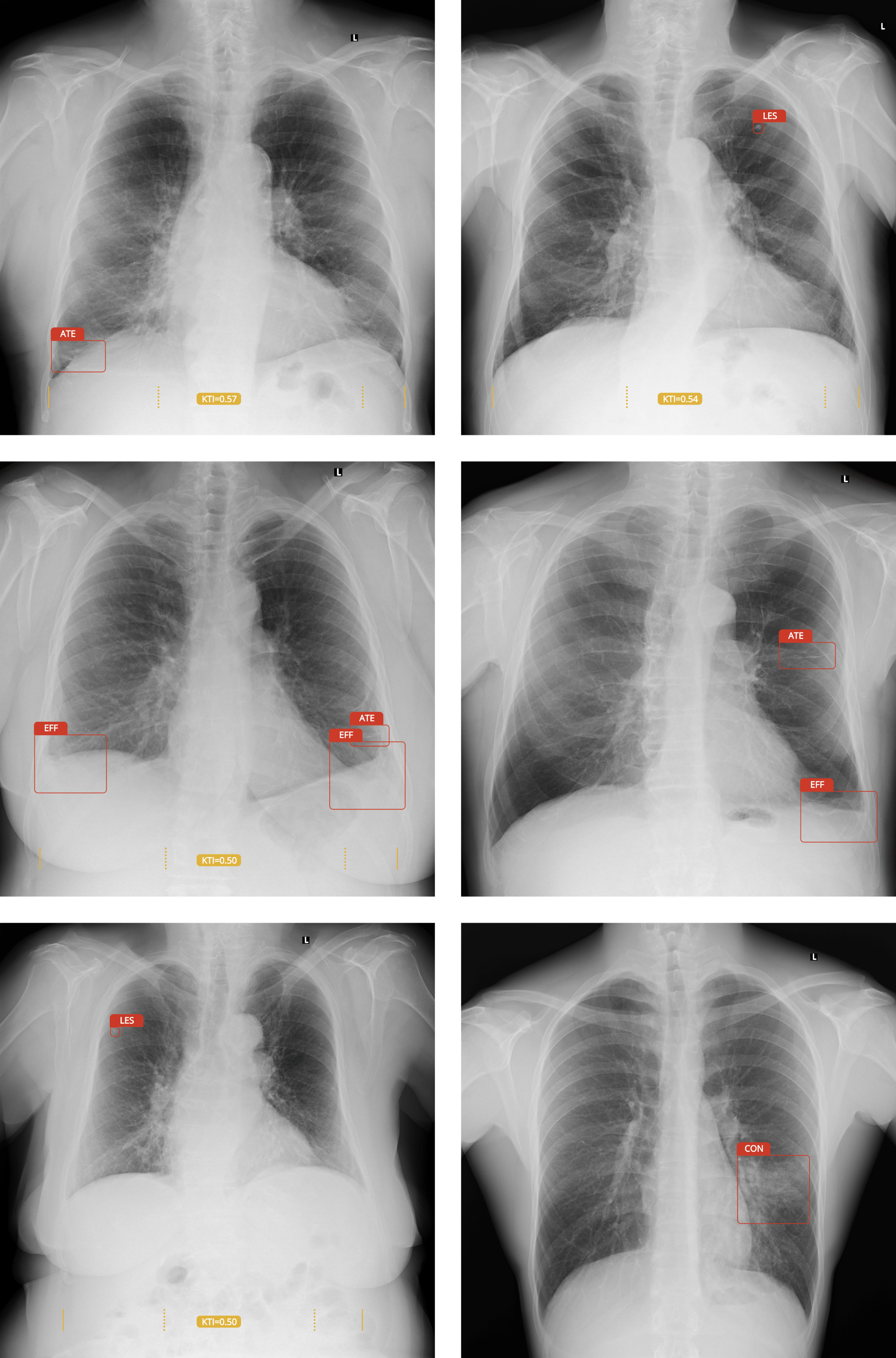
Dodává sebevědomí při vyhodnocování snímků a vizuálně upozorní na nálezy. Lékař je ten, který potvrzuje nálezy a určuje diagnózu. Snižuje pracovní vytížení, šetří čas a může snížit počet chybných diagnóz.

Zdravotnímu
systému

Šetři peníze. Každá nesprávně určená diagnóza může pacienta stát život a systém nezměrně větší částku, která je potřeba vynaložit na jeho léčbu.

Nemocnicím

Zvýšit průchodnost oddělení a standardizovat kvalitu poskytované péče. Pomáhá vyrovnat rozdíly mezi nedostatkem radiologů a zvyšujícím se počtu snímkování.
o AI

Novinky

další novinky

Lékaři o AI

foto Milan Kvapil
Prof. MUDr. Jan Daneš, CSc.
Lékař a vysokoškolský profesor, odborník v oboru radiologie a mamodiagnostiky

"Mou současnou rolí je iniciovat určité trendy a připravovat cestu pro nové aplikace umělé inteligence, aby mohly vstoupit do zdravotnické praxe."

foto Milan Kvapil
MUDr. Pavel Špás
ODDĚLENÍ PNEUMOLOGIE A FTIZEOLOGIE, OTRAN KUTNÁ HORA

"Pokud by běžný snímek hrudníku u pacienta s rakovinou plic vyhodnotila umělá inteligence, lézi by bylo možné identifikovat dříve, což by mohlo zachránit pacientovi život.“

foto Milan Kvapil
MUDr. Michal Buk, EDiR.
RADIOLOG, FAKULTNÍ NEMOCNICE KRÁLOVSKÉ VINOHRADY

"AI je jako švýcarský nůž radiologa. Umožní nám soustředit se na to, co je důležité, jako například správné diagnostikování pacienta. Odbourává nám velkou část rutiny, pomáhá nám s prevencí vyhoření a přepracování. Tím i snižuje chybovost, protože se nemusíme snažit pracovat přehnaně rychle."

foto Milan Kvapil
MUDr. Sergei Strukov, EDiR.
VEDOUCÍ LÉKAŘ RADIODIOLOGIE, NEMOCNICE ROUDNICE NAD LABEM

"AI pomáhá v práci lékaře. Šetří čas a peníze. Tyto systémy jsou neunavitelné, nemají dovolené a pracovní neschopnosti, mohou se neustále vyvíjet a tím pádem být postupem času preciznější a přesnější, t.j. více zkušenější. Začínající, mladí lékaři se mohou díky těmto systémům školit a zkušení lékaři budou mít více času řešit těžké případy a věnovat se konzultacím, než běžné rutině."

foto Milan Kvapil
Prof. MUDr. Milan Kvapil, CSc., MBA
EMERITNÍ PŘEDNOSTA INTERNÍ KLINIKY 2. LF UK A FN MOTOL

"Jsem přesvědčen, že podobné systémy výrazně zlepší kvalitu péče o pacienty v mnoha směrech, a jsem skutečně nadšen, že něco podobného vzniklo v České republice."

No items found.
arrow-left
arrow right

Spolupráce

Jsme otevřeni spolupráci s lékaři, nemocnicemi i zdravotním systémem. Naším cílem je přinést do zdravotnictví tolik potřebnou práci s daty. Zajímá vás zavedení umělé inteligence do zdravotnictví? Kontaktujte nás.

chci vědět více